ВПЧ: скрытая угроза, о которой нужно знать

Дата публикации: 9 декабря 2025
ВПЧ: скрытая угроза, о которой нужно знать
ВПЧ: скрытая угроза, о которой нужно знать

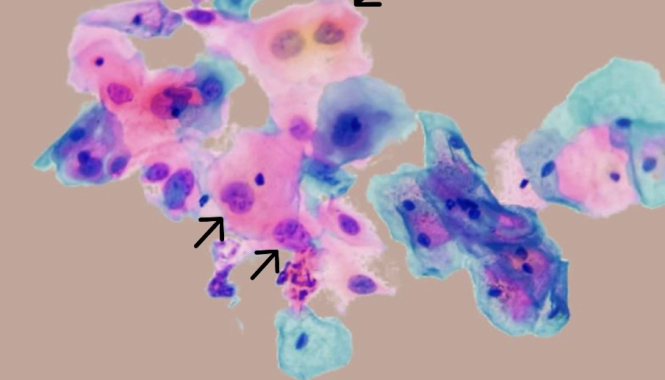
Вирус папилломы человека (ВПЧ) — одна из самых распространённых и при этом незаметных инфекций: вирус может годами не проявляться, постепенно вызывая диспластические изменения клеток плоского эпителия. Особое внимание уделяется 12 наиболее онкогенным типам, связанным с риском развития серьёзных заболеваний шейки матки.

ПЦР-исследование с определением индивидуальной вирусной нагрузки позволяет не только выявить наличие опасного типа ВПЧ, но и определить количество вируса в организме, что помогает понять степень риска и выбрать правильную тактику лечения.

Раннее выявление — лучший шаг к защите здоровья!