УЗИ коленных суставов

Дата публикации: 13 августа 2025
УЗИ коленных суставов
УЗИ коленных суставов

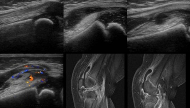
УЗИ коленных суставов назначают для оценки состояния мягких тканей (хрящей, связок, сухожилий) и костей, а также для выявления воспалительных процессов, травм, дегенеративных изменений и других патологий.

УЗИ коленных суставов позволяет:

  • Оценить состояние мягких тканей: связок, сухожилий, мышц, синовиальной оболочки и суставной сумки.
  • Обнаружить воспалительные процессы: артрит, синовит, бурсит, тендинит.
  • Выявить травмы: разрывы связок и менисков, переломы костей, гемартроз (скопление крови в суставе).
  • Диагностировать дегенеративные изменения: артроз, остеоартроз, дегенерацию хряща.
  • Обнаружить кисты и опухоли: киста Бейкера, новообразования в области сустава.
  • Оценить наличие жидкости в суставе: выпот, скопление крови.
  • Провести мониторинг состояния при хронических заболеваниях суставов: ревматоидный артрит, подагра.

Оценить эффективность лечения и реабилитации после травм и операций.


Рекомендованные обследования